4个真实病例教你如何诊断!
8月17日,绿丝带健康呼吸行动-2019雅培肺癌防治高峰会在武汉顺利举行。在上午的日程中,来自不同学科领域的专家围绕肺癌早期诊断和治疗的热点话题,为我们带来了一场干货满满的学术盛宴()。
而在下午的病例大赛中,来自全国的5支参赛队伍也为我们上演了一场精彩绝伦的“临床技能大比拼”。他们分别来自于华中科技大学同济医学院附属协和医院、吉林大学第二医院、清华大学附属北京清华长庚医院、西安交通大学医学院第二附属医院、中山大学附属第一医院。
另外,我们还特别邀请了复旦大学附属中山医院白春学教授、宁夏医科大学总医院周玮教授、中山大学附属第一医院周燕斌教授、西安交通大学附属第二医院耿燕教授、吉林大学第二医院张捷教授、吉林大学第二医院赵银龙教授、清华大学附属北京清华长庚医院王立万教授、清华大学附属北京清华长庚医院赵秀英教授等8位专家担任评委。
大赛现场,精彩病例层出不穷,专家点评犀利有趣……这里,我们精心挑选了几个参赛病例,并整理成文字,以饕读者。
第一个病例:
来自吉林大学第二医院
病例介绍:
患者女,53岁,教师,吸烟史10包年,因“间断咳嗽2年半,加重1个月”入院。2012年因为支气管扩张咯血行右肺手术治疗;否认特殊疾病家族史及本人的恶性肿瘤病史。
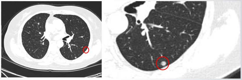
患者胸部CT
2017年3月胸部CT提示左肺下叶背段有一密度增高的结节,直径为7 mm。结合患者信息和影像学表现,我们判断为孤立性肺结节。
那么,临床对于孤立性肺结节应该如何处理呢?
不管是2016版的美国国立综合癌症网络(NCCN)指南还是2013版的美国胸科医师学会(ACCP)指南,均推荐对小于8 mm的肺结节,应该进行6-12个月的CT随访,待病情稳定后,可在18-24个月时对结节进行进一步随访。同样的,我国的指南也推荐对于这样的结节,应该每6个月进行一次随访,如病情稳定,可年度常规随访。
国内外指南对孤立性肺结节的处理
在和患者充分沟通后,我们进行了长达两年的随访,期间患者病情稳定。直到2019年8月,患者出现了非常严重的刺激性咳嗽。
此时应该对患者采取什么治疗措施?
考虑患者因为支气管扩张咯血已经进行过肺部手术治疗,如果再次行手术治疗会显得格外艰难。所以,我们联合呼吸内科、影像科、肿瘤科、胸外科、核医学科等进行了多学科会诊(MDT)。
由于在两年随访的过程中,结节的密度没有明显改变,大小也没有明显增加肺结节10个人9个人有吗,且结节一直小于8 mm,所以并没有对患者进行PET-CT或动态增强CT检查。最终,我们选择使用中国肺癌早期诊断生物标志物谱(LCBP)模型对结节的恶性概率进行计算。
X=-5.6017+(0.0264x年龄)+(8.8539x吸烟史)+(0.1859x结节直径)+(3.1865x毛刺征)+(-8.7109x性别)+(-0.00001xProGRP)+(0.0057xSCC-Ag)+(0.1686xCYFRA21-1)+(-0.00311xCEA)
恶性概率=ex/(1+ex)
公式说明:e是自然对数(2.71828);既往有吸烟史,吸烟=1,既往无吸烟史,吸烟=0;有毛刺征,毛刺征=1,无毛刺征,毛刺征=0;性别为男性,性别=1,性别为女性,性别=0;
恶性概率≤22%为低危;
恶性概率>22%且≤94%为中危;
恶性概率>94%为高危。
从4次肿瘤标志物的检测结果,可以发现癌胚抗原(CEA)、细胞角蛋白19片段(CYFRA21-1)、鳞状上皮细胞癌抗原(SCC)呈逐渐升高的趋势。我们将患者的信息和生物标志物检测结果带入公式后得出结论,该患者恶性概率为100%,即认为是肺部肿瘤高危患者。所以我们最终对患者进行了手术治疗,术后病理诊断为原位腺癌。
病理诊断结果提示(左肺下叶)原位腺癌,支气管断端未见癌,部分右肺中叶未见癌,支气管旁淋巴结(0/5)、另送7组(0/5)、9组(0/1)淋巴结均未见癌转移。
专家点评:
周玮教授:这是一个非常典型的病例,且诊疗过程非常规范。从整个诊疗过程中,可以看出他们对国内外指南的内容是熟悉的,并能够将其应用到临床。另外,他们对于工具的选择和应用也是恰当的——选择LCBP模型对恶性概率进行评估,可以帮助临床决策。
白春学教授:这个病例临床医生和检验科医生密切配合,体现了多学科合作的精神。并且他们有理有据地叙述了整个病史诊断的过程,给我留下了深刻的印象。
第二个病例:
来自中山大学附属第一医院
病例介绍:
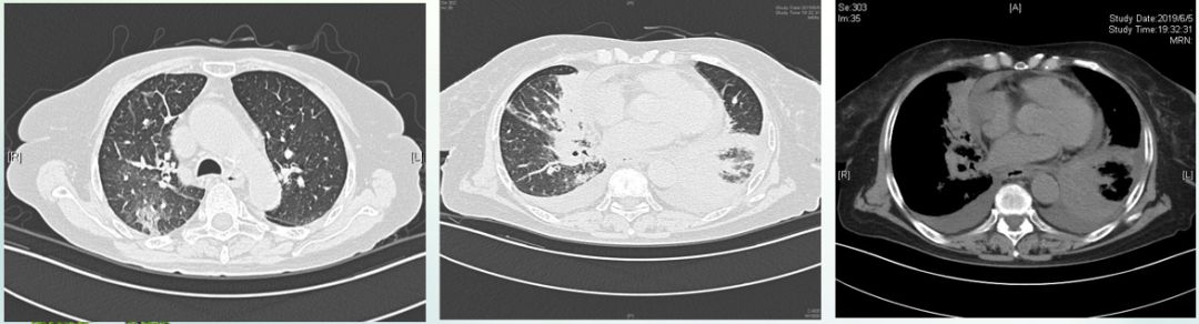
患者男,44岁,2月余前无明显诱因出现咳痰时痰中带血,当地予以抗感染治疗无效;CT增强提示左肺下叶病灶,遂于2019年1月21日收入我院。患者无吸烟史,也无肺癌家族史。
1月23日CT结果提示左肺下叶后基底段胸膜下可见一结节肺结节10个人9个人有吗,直径约为12 mm,增强后有较明显强化,边界欠清楚,周围可见散在多发小结节状、片状致密实变影伴片状渗出,病变边缘模糊,邻近胸膜略牵拉、增厚。另外病变周围可见条索状稍高密度影,边缘锐利。双肺胸膜下散在细条索、结节状高密影,边界清楚,部分见钙化影。
患者胸部CT
根据影像学结果我们考虑患者炎症的可能性大,但不能排除结核可能。我们继续对患者进行了肿瘤标志物等实验室检查。
结果提示CEA、SCC等肿瘤标志物均未见明显升高,但白细胞和中性粒细胞百分比稍有升高。所以我们选择使用LCBP模型进行验证。
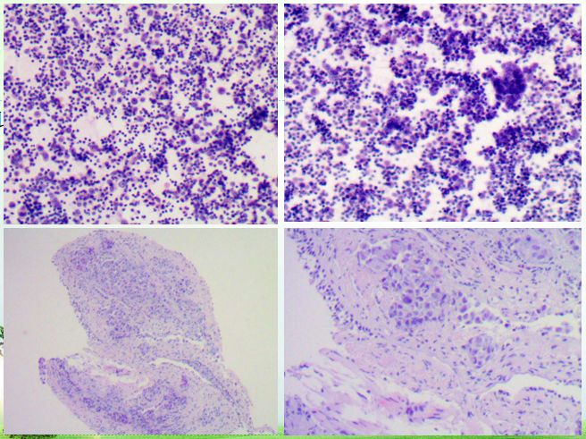
结果表明结节恶性的概率为0%。但因为患者极度紧张,并强烈要求手术。所以我们还是对其进行了手术治疗。术后病理诊断为(左下肺)慢性肉芽肿性炎,伴隐球菌感染。
肺组织内见多量多核巨细胞反应伴淋巴细胞浸润,部分多核巨细胞内可见圆形空泡状物,特殊染色结果:PAS染色、六胺银染色、AB染色显示巨噬细胞内存在隐球菌,抗酸染色(-)。
另一个病例介绍:
患者女,44岁,2013年CT发现左上肺结节,大小约9 mmx10 mm,伴右侧气胸。左上肺结节没有进行特殊处理。但因为患者反复出现右侧气胸。所以于2014年进行右侧肺大疱切除术,同时复查胸部CT示左上肺结节大小较前相仿。随后患者未定期复查。
2月前患者突发上腹部痉挛性疼痛,伴胸闷,查胸部CT示左上肺结节影较2014年增大(10 mmx15 mm),伴右侧液气胸,遂于2018年11月14日入我院。患者无特殊职业史,无吸烟史,无肺癌家族史。
我院CT提示患者右侧胸腔可见大量积气,右肺受压面积大于60%;右肺上叶见条状高密度影,边界清楚;左肺上叶尖后段见斑片状磨玻璃影(10 mmx15 mm) ,形态不规格,边缘见毛刺,内部血管走形紊乱、纤细,邻近胸膜牵拉。初步判断患者为左肺上叶尖后段磨玻璃密度病变,性质待定,不除外早期周围型肺癌可能。
从患者的肿瘤标志物检查结果也可以看到神经特异性烯醇化酶(NSE)和CA125有轻度升高。但其他实验室检查,如血常规、感染指标及肝肾功能未见异常。所以我们还是选择使用LCBP模型进行验证。
结果显示患者恶性概率为87.99%。在与患者沟通后,于2018年11月22日进行了手术治疗,术后病理诊断为肺腺癌。
(左上)肺腺癌,腺泡为主型,累及脏层胸膜。
两个病例都显示LCBP风险评估结果与临床诊断有很好的一致性,肿瘤标志物联合CT检查对于肺癌的诊断有重要的临床意义。
另外由于一种肿瘤可以分泌多种肿瘤标志物(特异性较低),或不同肿瘤可表达相同的肿瘤标志物(组织特异性较低),或不同的患者体内肿瘤标志物的质和量差异也较大(个体差异大),所以联合多种肿瘤标志物检测可以进行更全面的评价,有利于提高检测的阳性率,可以有效避免漏诊、误诊。这对于疾病的早期发现、早期诊断和治疗、疗效观察、病情检测及预后等各方面具有重要的临床意义。
专家点评:
张捷教授:整个展示的过程安排得非常合理,为我们展示了两个不同的病例:一个不是肺癌,而另一个经过规范的诊治并确认为肺癌。并且在整个诊治的过程中,都充分利用了LCBP这个工具。但值得注意的是,不管是对影像还是肿瘤标志物,都需要进行动态观察,并排除其他因素对于肿瘤标志物的影响。如果在这方面可以加强,那这个病例就非常好了。
赵银龙教授:这两个病例很好地体现出LCBP模型在临床的作用,也很好地体现了临床医生和检验科医生完美的配合。但有一点不足的是第一个病例,如果可以考虑先抗炎治疗再行手术治疗的话会更好。
第四个病例:
清华大学附属北京清华长庚医院
病例介绍:
患者女,67岁,胸闷、憋气2月,活动后加重,略咳嗽,无发热。2019年6月3日入我院,入院前1周出现反复咯血。患者既往无吸烟史,无呼吸系统及心脏基础疾病。
外院肿瘤标志物:CA125 77.4 μ/ml, NSE: 18.8 ng/ml, TSFG: 65.9 μ/ml,监测系统不详。
入我院后完善检查,CT可见双肺多发磨玻璃、斑片状阴影,右中叶、左下叶大片实变,双侧少量胸水,心包积液。
肺功能:轻度阻塞性通气障碍(FEV1/FVC 67.61)。
我院肿瘤标志物:血清CA15-3:39.3 U/mL↑ ;CEA:0.89 ng/mL;AFP:3.09 ng/mL;CYFRA21-1:47.47 ng/ml↑;CA-125:276.7 U/mL↑ ;NSE:9.18 μg/L;CA19-9:4.28 U/mL;SCCAg :0.9 ng/ml。
支气管镜检查:支气管粘膜弥漫性肿胀伴血性分泌物。
病理结果提示为浸润性腺癌。进行PET-CT检查也提示左肺下叶支气管分支闭塞伴肺叶实变、代谢增高,全身多发淋巴结肿大伴代谢增高,考虑为来源于肺恶性肿瘤伴全身多发转移;两肺间质增粗模糊伴高代谢,癌性淋巴管炎可能;双侧胸腔积液伴两肺膨胀不全、心包积液、盆腔积液少量腹腔积液。最终确定诊断为双侧肺腺癌IV期(T4N3M1c)。
在这个病例中我们可以发现,患者前后在两家医院的肿瘤标志物检查结果有明显的差异,为什么会出现这种现象?因为一种肿瘤标志物在不同的检测系统,参考区间不同。所以在使用不同检测系统时,要进行比对。如果比对不上,患者需要用新系统重新累计其基线水平。
必须强调的是,每个患者肿瘤标志物水平的动态变化才是至关重要的。大多数患者肿瘤标志物的个体正常水平是未知的,可低于参考范围,也可高于参考范围的上限值。每个肿瘤患者经初次治疗有效后的肿瘤标志物水平应作为其特殊的“个体参考值”,即使在参考范围内的增加也可是显著的。这个个体参考值可作为进一步治疗监测时的基础水平。
专家点评:
耿燕教授:胸闷咳血是临床常见的症状,它可能是炎症,也可能是肿瘤或者自身免疫性疾病。那么如何区分呢?两位选手从病史、血清学、影像学等各个方面完整地介绍了这个病例,并且从检验角度,还对参考区间和基线水平进行了讨论。确实必须提醒各位临床医生,不同的检测系统,参考区间不同,在实际的临床工作中应该予以重视。
周燕斌教授:围绕今天的主题,选手为我们展示了一个非常好的病例。并像我们充分地展示了检验是如何辅助于临床,让临床工作更加顺利地开展,体现了多学科综合诊疗的意义。
总结:
单项肿瘤标志物对于肺癌诊断的敏感性和准确性有限。多项肿瘤标志物联合CT检测可降低肺癌的漏诊率,提高总体诊断敏感性。而LCBP模型在纳入肺癌高危信息和CT信息后,还纳入了4种肿瘤标志物,可以对肺结节患者进行初步的评估,鉴别良性和恶性的结节,避免不必要的侵袭性操作,如活检或手术。
喜欢,就给我一个“好看”
限 时 特 惠: 本站每日持续更新海量各大内部创业教程,一年会员只需98元,全站资源免费下载 点击查看详情
站 长 微 信: Esaan521




